I had a great experience! The front desk was very friendly and ready to help you with signing in. The Hygienist was very thorough and very nice! The Dr was efficient and very pleasant to talk to! I saw Dr. Jambo and Diane. I highly recommend this office!
Everyone is very helpful, knowledgeable, considerate, and professional. The treatment offered is explained in detail beforehand with options openly discussed. The care I have received is excellent.
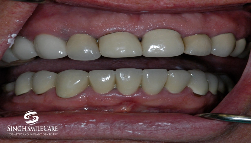
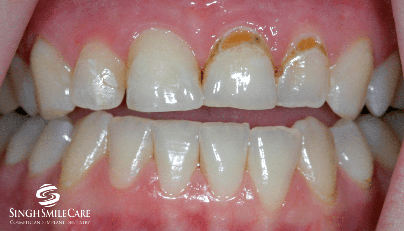
My teeth were destroyed from chemotherapy treatments. Dr. Singh and his assistant, Courtney, gave me my smile back. I am so thankful for their care and the results. I would highly recommend Singh Smile Care.